39问医生 · 健康经验

首页 两性健康 常见疾病 生活保健 整形美容 我要分享 我的经验
健康经验 > 生活保健 > 其他 > 生活常识

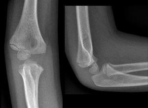
肱骨内上髁骨折能治好吗?

分享者:everytime 更新时间:2019-08-26 11:19:03 179035阅读
概述

肱骨内上髁骨折是肘部损伤中最常见的一种,约占肘关节骨折的10%,仅次于肱骨髁上骨折与肱骨外髁骨折,占肘部损伤的第三位。骨折多发生在少年和儿童。肱骨内上髁骨折能治好吗?接下来跟大家分享下我的看法。

肱骨内上髁骨折能治好吗?

除Ⅰ度骨折一般不会移位外,其他类型骨折复位后不稳定,可发生再移位,在这种情况下,可采用闭合穿针固定;如骨折片有旋转,手法难以复位者,可采用经皮钢针撬拨复位,并用1~2枚克氏针作内固定,术后用石膏托或超关节小夹板外固定3~4周。

适用于骨折分离较明显,或骨折片嵌入关节腔手法难以解脱,旋转移位手法未能纠正及合并尺神经损伤者。合并尺神经挫伤应予以检查,如较严重可同时做尺神经前置手术。术后用石膏托固定4~5周,拆除石膏托拔除钢针后进行功能锻炼。

无移位的肱骨内上髁骨折,无需复位,仅用长臂石膏托或超关节小夹板固定3~4周,拆除石膏或夹板后进行功能锻炼。Ⅱ度以上骨折应先利用手法复位,失败者再手术。

注意事项

注意日常生活安全,无其他有效预防措施。而尤其要注意的是,本病容易并发肘内翻,因此对本病的患者,除了积极进行治疗外,还要注意预防肘内翻的发生。

温馨提示:以上经验分享由网友原创分享,仅供参考,未经许可禁止转载,违者必究
相关图片
热门资讯
最新经验
more+
  1. 青春无悔刚刚分享了经验 女性尿路结石怎么办? 2020-12-04
  2. 青春无悔刚刚分享了经验 氟康唑分散片怎么用? 2019-09-17
  3. 青春无悔刚刚分享了经验 彩光嫩肤祛斑要多少钱... 2019-09-17
  4. 青春无悔刚刚分享了经验 慢性中耳炎吃什么药? 2019-09-17
  5. 青春无悔刚刚分享了经验 哪些原因会引起种痘并... 2019-09-17