39问医生 · 健康经验

首页 两性健康 常见疾病 生活保健 整形美容 我要分享 我的经验
健康经验 > 生活保健 > 其他 > 生活常识

小儿口腔溃疡可以用什么药物治疗?

分享者:everytime 更新时间:2019-08-21 23:21:57 15651阅读
概述

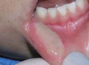
小儿口腔溃疡小儿口腔溃疡(口疮)是一种最常见的口腔粘膜疾病,在小儿群中患病率一般认为超过10%,。小儿口腔溃疡是一种以周期性反复发作为特点的口腔粘膜局限性溃疡损害,可以自愈,小儿口腔溃疡可以用什么药物治疗?接下来跟大家分享下我的看法。

小儿口腔溃疡可以用什么药物治疗?

首先小孩子如果有口腔溃疡的话,可以涂抹一些西瓜霜在溃疡的地方,或者是西瓜霜的喷雾剂也是比较不错的,如果不想给小孩子喷药物的话可以让小孩子用盐开水或者是生理盐水来漱口,这样能够帮助减少口腔里面的细菌,防止食物残渣来加重感染。

同时,在治疗口腔溃疡的过程中,需要注意不要吃一些刺激性的食物和比较硬的食物,比如鸡腿或者是炸牛排这些事物,因为这些刺激性的东西会摩擦患者的伤口,也不利于伤口的愈合。

然后就是要让患者有良好的生活作息,有一个充足的睡眠,保持心情的乐观和积极,适当的做一些体育运动,帮助身体体质的提高,增强身体的免疫能力,避免疾病的发生,减少口腔溃疡的发生。

注意事项

一些腌制的食物,比如咸菜或者是咸肉和柿子螃蟹这样的事物尽量不要让口腔溃疡的小孩子多吃,因为这些事物会加重小儿口腔溃疡的情况。

温馨提示:以上经验分享由网友原创分享,仅供参考,未经许可禁止转载,违者必究
相关图片
热门资讯
最新经验
more+
  1. 青春无悔刚刚分享了经验 女性尿路结石怎么办? 2020-12-04
  2. 青春无悔刚刚分享了经验 氟康唑分散片怎么用? 2019-09-17
  3. 青春无悔刚刚分享了经验 彩光嫩肤祛斑要多少钱... 2019-09-17
  4. 青春无悔刚刚分享了经验 慢性中耳炎吃什么药? 2019-09-17
  5. 青春无悔刚刚分享了经验 哪些原因会引起种痘并... 2019-09-17