39问医生 · 健康经验

首页 两性健康 常见疾病 生活保健 整形美容 我要分享 我的经验
健康经验 > 常见疾病 > 外科 > 颈椎病

食管压迫型颈椎病怎么治疗?

分享者:领悟了 更新时间:2018-03-10 13:25:59 148阅读
概述

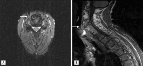
食道型颈椎病是一种不多见的颈椎病类型,但是却是一种非常严重的疾病,一旦出现了这种疾病以后,患者表现出的各种症状,都会严重的影响患者的健康。如果食道型颈椎病患者的症状发现的早,可以采用保守的方法进行治疗,如果症状发现的比较晚,那么就需要到正规医院采用微创术来进行治疗,后期则需要到正规医院采用手术的方法进行治疗。食管压迫型颈椎病怎么治疗现在就跟大家说说。

食管压迫型颈椎病怎么治疗?

第一:食道型颈椎病患者的主要症状表现在咽喉部位,患者在早期见于进硬质或干燥食物时,症状逐渐加重,这样会严重影响患者的正常生活,患者这个时候需要积极的进行治疗,这个时候效果会更好。

第二:食道型颈椎病的治疗方法有很多,现在很多患者都在采用微创术来进行治疗,微创术有着见效快、效果显著、安全性高、不易复发等优点,深受广大患者的喜爱,同时也应该注意康复护理。

第三:食道型颈椎病患者在后期则会表现出在环状软骨水平段不适,还有些患者会表现出胸骨后的灼热与刺痛,这些症状已经严重的影响了患者的健康,如果不能及时进行治疗,就会出现危害。

注意事项

食道型颈椎病患者刚开始还只会出现不能吃比较坚硬的食物,或者比较干燥的食物,后期就会表现出吞咽困难发展缓慢,且经常与精神紧张等关系密切,还有些患者会因为不能及时摄取营养物质,出现其他疾病。

温馨提示:以上经验分享由网友原创分享,仅供参考,未经许可禁止转载,违者必究
相关图片
热门资讯
最新经验
more+
  1. 领悟了刚刚分享了经验 神经根型颈椎病怎么治... 2018-03-12
  2. 偶阵雨刚刚分享了经验 神经根型颈椎病怎么治... 2018-03-06
  3. 偶阵雨刚刚分享了经验 什么原因引起脊椎炎? 2018-03-06
  4. 故人来刚刚分享了经验 隐性脊柱裂不能哪些运... 2018-02-25
  5. 故人来刚刚分享了经验 隐性脊柱裂怎么样检查... 2018-02-24