39问医生 · 健康经验

首页 两性健康 常见疾病 生活保健 整形美容 我要分享 我的经验
健康经验 > 常见疾病 > 五官科 > 口腔溃疡

口腔粘膜病吃什么好药?

分享者:擦肩而过 更新时间:2018-01-24 09:24:05 231阅读
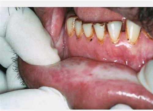
概述

岁数越大的人,成长激素分泌的就相对越少,口腔维生素供不应求,口腔免疫力降低,此时易发生口腔黏膜溃疡,形成唇内溃疡,舌头溃烂,内腮和上下颌内都有疮面溃疡,凹陷面有腐烂等,恶臭,重症者会常年甚至数十年的溃疡,给患者带来极大的痛苦。我就有遗传性的口腔溃疡,我父亲也有这个病,复发性的,现在已经好转,我来分析下治疗经验。

口腔粘膜病吃什么好药?

第一:首先清理口腔卫生,用医用棉签沾消毒盐水清理溃疡面,然后用维生素C的粉末涂抹在溃疡患处,会有半分钟的疼痛,但是效果很好;

第二:对于复发性的口腔粘膜病建议用酒精杀死病菌,用医用棉签沾酒精涂擦在粘膜溃疡上,立即会产生疼痛,但是很快就麻木不疼了,一天三次,基本两天就可以好。

第三:选用全脂奶粉,加少许糖,每天和两次,可以试试,补充口腔营养。

注意事项

1.多喝水,不要上火引起炎症不易好; 2.忌食辛辣刺激物,注意口腔卫生; 3,适当吃点消炎药。

温馨提示:以上经验分享由网友原创分享,仅供参考,未经许可禁止转载,违者必究
相关图片
热门资讯
最新经验
more+
  1. 大宇宙刚刚分享了经验 舌头起泡怎么办? 2018-03-29
  2. 领悟了刚刚分享了经验 舌苔长泡怎么回事? 2018-03-09
  3. 偶阵雨刚刚分享了经验 食道溃疡要多久才会好... 2018-03-09
  4. 偶阵雨刚刚分享了经验 舌头水肿是怎么回事? 2018-03-08
  5. 偶阵雨刚刚分享了经验 舌苔糜烂肿了怎么回事... 2018-03-02