39问医生 · 健康经验

首页 两性健康 常见疾病 生活保健 整形美容 我要分享 我的经验
健康经验 > 生活保健 > 消化系统保健 > 腹痛

得了腹茧症怎么办?

分享者:小女人 更新时间:2018-01-23 15:35:04 298阅读
概述

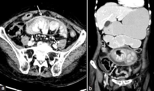
前阵子总是腹痛呕吐,刚好碰到学校体检,我检查了下我的腹部,发现就我的腹部有包块,隔天去医院做检查,检查之后发现自己得了腹茧症,医生为此对我进行了一番治疗。一起来看下下面的内容吧

得了腹茧症怎么办?

第一:去了医院,我跟医生说我的情况之后,医生带我去做了B超,发现我的肠管被中午粘连,在X线钡餐检查中也发现小肠受压,医生说这是肠梗阻,是腹茧症的表现,需要做手术

第二:后来,医生给我做了手术,对肠道里的肿物进行消除松解之后,对我的肠道进行接触梗阻,手术很成功,术后一段时间很快我之前的症状就消失了,不过医生说做了手术之后还是有少数人会遗留症状,为了让我的心更加踏实,他给我开了一些泼尼松,说是可以缓解症状。

第三:最后术后休息那几天,医生要我饮食方面也要多加注意,饮食要清淡,多吃一些容易消化的食物

注意事项

你们的腹茧症已经被严重的破坏了,如果不及时关注保养的话,那么你很有可能失去它了,所以我们平常的时候一定要爱护自己,身体的健康才能让你更加的美丽。

温馨提示:以上经验分享由网友原创分享,仅供参考,未经许可禁止转载,违者必究
相关图片
热门资讯
最新经验
more+
  1. 再回首刚刚分享了经验 怀孕初期小腹痛怎么回... 2018-04-08
  2. 再回首刚刚分享了经验 孕妇35周腹痛怎么回... 2018-04-07
  3. 再回首刚刚分享了经验 脐腹胀痛的症状 2018-04-07
  4. 再回首刚刚分享了经验 怀孕四周症状小腹痛? 2018-04-03
  5. 用心爱你刚刚分享了经验 睡觉腹部疼痛怎么回事... 2018-03-13