39问医生 · 健康经验

首页 两性健康 常见疾病 生活保健 整形美容 我要分享 我的经验
健康经验 > 两性健康 > 妇科 > 输卵管堵塞

输尿管囊肿有什么症状

分享者:大蓟 更新时间:2017-09-27 12:51:03 197阅读
概述

输尿管囊肿在日常生活中是一种比较常见的疾病,现在有不少人会患有输尿管囊肿的疾病,引起输尿管囊肿疾病发生的原因有很多种,输尿管囊肿是一种比较严重的疾病,输尿管囊肿这种疾病会给患者的生活造成比较大的影响,对于输尿管囊肿疾病的患者应该要引起重视,尽早到正规的医院接受检查治疗,下面小编和大家详细的来介绍一下,输尿管囊肿的表现输尿管囊肿怎么诊断?

输尿管囊肿有什么症状

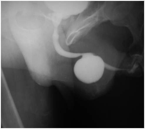
首先,我们大家一起来了解一下,输尿管囊肿的表现输尿管囊肿怎么诊断?输尿管囊肿可以通过影像学检查可明确诊断,输尿管囊肿的患者会出现排尿困难,疼痛等表现症状应该要及早的接受治疗。

其次,输尿管囊肿在日常生活中是一种比较常见的疾病,现在有不少人会患有输尿管囊肿的疾病,引起输尿管囊肿疾病发生的原因有很多种,输尿管囊肿是一种比较严重的疾病,对于这种疾病,早发现早治疗是比较好的。

最后,输尿管囊肿这种疾病会给患者的生活造成比较大的影响,对于输尿管囊肿疾病的患者应该要引起重视,尽早到正规的医院接受检查治疗,还要及时的纠正不良的生活习惯,避免过度劳累。

注意事项

输尿管囊肿可以通过影像学检查可明确诊断,输尿管囊肿的患者会出现排尿困难,疼痛等表现症状应该要及早的接受治疗,及时的纠正不良的生活习惯,配合相应的治疗方法来缓解。

温馨提示:以上经验分享由网友原创分享,仅供参考,未经许可禁止转载,违者必究
相关图片
热门资讯
最新经验
more+
  1. 我相信刚刚分享了经验 输卵管肿瘤患者吃什么... 2018-03-07
  2. 我相信刚刚分享了经验 输卵管肿瘤有哪些常见... 2018-03-07
  3. 我相信刚刚分享了经验 输卵管肿瘤的危害有哪... 2018-03-07
  4. 我相信刚刚分享了经验 输卵管肿瘤以手术治疗... 2018-03-07
  5. 我相信刚刚分享了经验 输卵管肿瘤的手术保健... 2018-03-07