39问医生 · 健康经验

首页 两性健康 常见疾病 生活保健 整形美容 我要分享 我的经验
健康经验 > 整形美容 > 整形 > 牙齿矫正

氟斑牙美容冠价格

分享者:灵宝宝 更新时间:2016-12-27 19:07:09 131阅读
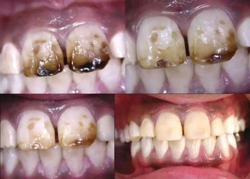
概述

我有很严重的氟斑牙!不知道是不是因为小时候吃药的原因,牙齿黑的,特别不美观,平时笑都有所顾忌,前一段时间我刚刚做了美容冠,现在我的牙齿好看多了,而且通过非常小,很多朋友都知道美容冠非常不错,但是不知道美容冠的价格是多少,我现在来告诉大家吧!

氟斑牙美容冠价格

首先,价格这方面受到美容冠材料的影响,专家介绍,美容冠的材料是最直接的影响了美容冠的费用,不同的美容冠材料不同,选择好的材料可以使用得更长久,但费用也相对高一些。

其次,不同的口腔医院定价也是不同的,口腔医院也是影响美容冠价格的一大因素,正规的口腔医院,不仅设备齐全,而且口腔专家权威,做出的美容冠效果自然很好,使用寿命也长。大家不要为了贪图小便宜到一些小诊所做美容冠,这样不仅不能保证口腔健康,做出的美容冠效果也不好。

最后,每个人都每个人情况不同,所以价格也不同,患者的口腔情况不同,做美容冠的费用也有所差异,像有的患者牙齿更粗,就可以直接采用美容冠技术进行修复,而有的患者牙齿本身有龋齿,就需要先将龋齿治疗好,在进行美容冠修复,因此患者的口腔情况不同,费用也是不一样的。

注意事项

不少的朋友打听美容冠的价格,其实这不是大家所考虑的必要因素,只要我们到正规的大医院去做就可以了,大家在做美容冠时,不要过分在意美容冠的价格问题,只要患者到正规的口腔医院进行美容冠,正规口腔医院都是落实平价收费,透明公开的原则。而且对牙齿美容效果和安全有保障。

温馨提示:以上经验分享由网友原创分享,仅供参考,未经许可禁止转载,违者必究
相关图片
热门资讯
最新经验
more+
  1. 花女人刚刚分享了经验 拔牙后如何修复好? 2018-01-18
  2. 漂亮的姑娘刚刚分享了经验 假牙门牙疼痛怎么回事... 2018-01-12
  3. 漂亮的姑娘刚刚分享了经验 前牙深覆盖矫正多少钱... 2018-01-11
  4. 专属权刚刚分享了经验 整牙手术牙痛是怎么回... 2018-01-10
  5. 广角刚刚分享了经验 牙齿反弹什么原因 2017-09-27